
BIONGRAFT
Οδοντιατρική Πάστα
Η BIONGRAFT Οδοντιατρική Πάστα είναι μια ενέσιμη και διαμορφώσιμη πάστα μοσχεύματος οστού, βασισμένη σε υδρογέλη και β-τριτρικασιοφωσφορικό ασβέστιο (β-TCP) σε μορφή σκόνης ή κόκκων, που περιλαμβάνει σωματίδια ZrO₂ για αντιβακτηριακή δράση.
Η BIONGRAFT είναι ασφαλές και πλήρως βιοσυμβατό υλικό, σχεδιασμένο να λειτουργεί ως οστεοαγωγός σκελετός που υποστηρίζει την ανάπτυξη και σύντηξη του παρακείμενου ζωντανού οστού όταν τοποθετείται σε οστικό περιβάλλον. Παρέχει επίσης γέμισμα οστικών κενών, το οποίο απορροφάται και αντικαθίσταται από νέο οστό κατά τη διάρκεια της διαδικασίας επούλωσης.
Δεν απαιτεί ανάμειξη. Έρχεται προφορτωμένο σε βολικό εφαρμοστή, σύριγγα έτοιμη για άμεση τοποθέτηση στο έλλειμμα. Μπορεί να διαμορφωθεί εύκολα με το χέρι ανάλογα με τις ανάγκες.
Χαρακτηριστικά Προϊόντος


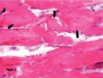
Σχηματισμός οστεοειδούς, 2 μήνες μετά την τοποθέτηση της BIONGRAFT Πάστας σε σκελετικό μυ.
Εφαρμογές
- Αναγέννηση φατνιακού οστού
- Πλευρική και κορυφαία ανύψωση ιγμορείου
- Εξαγωγή δοντιού (με ή χωρίς τοποθέτηση εμφυτεύματος)
Ενδοοστικά ελλείμματα - Καθοδηγούμενη οστική αναγέννηση (GBR)
- Μοσχεύματα φατνίου
Γενική διαδικασία χρήσης της BIONGRAFT Πάστας σε ανύψωση ιγμορείου, πλευρική αύξηση οστού και μοσχεύματα φατνίου.
A. Ανύψωση κρημνού Ο κρημνός πρέπει να ανυψωθεί ελάχιστα, ώστε να ανοίξει ολόκληρη η περιοχή τοποθέτησης του μοσχεύματος. Προετοιμάστε το έλλειμμα για τοποθέτηση του μοσχεύματος.
B. Εφαρμογή της BIONGRAFT Πάστας Ενέστε τη BIONGRAFT Πάστα και πιέστε απαλά για 5 δευτερόλεπτα, ώστε να πάρει το σχήμα του ελλείμματος, χρησιμοποιώντας στείρα και ξηρά γάζα.
Γ. Κλείσιμο κρημνού Επανατοποθετήστε τον κρημνό και ράψτε για μέγιστο κλείσιμο.

Lifting Oparation

Use of Biongraft Putty in sinus lifting operation.

Lifting

A- Before grafting procedure

B- 5 months after grafting procedure
Τεχνικά Χαρακτηριστικά


